欢迎访问《安徽农学通报》官方网站,今天是
经济作物

上海地区换锦花花芽分化进程的形态和生理变化

  • 李青竹 ,
  • 许俊旭 ,
  • 蔡友铭 ,
  • 张永春 ,
  • 杨柳燕
展开
  • 上海市农业科学院林木果树研究所,上海市设施园艺技术重点实验室,上海 201106
杨柳燕(1981—),女,浙江台州人,博士,研究员,从事花卉栽培与种质创新研究。

李青竹(1986—),女,山东淄博人,博士,副研究员,从事花卉资源评价与新品种选育研究。

Copy editor: 吴思文

收稿日期: 2024-12-31

  网络出版日期: 2025-03-13

基金资助

上海市科技兴农项目“石蒜种球休眠解除机理及花期精准调控技术研究”(2022-02-08-00-12-F01153)

Morphological and physiological changes of Lycoris sprengeri flower bud differentiation in Shanghai area

  • LI Qingzhu ,
  • XU Junxu ,
  • CAI Youming ,
  • ZHANG Yongchun ,
  • YANG Liuyan
Expand
  • Forest & Fruit Tree Institute, Shanghai Academy of Agricultural Sciences, Shanghai Key Laboratory of Protected Horticultural Technology, Shanghai 201106, China

Received date: 2024-12-31

  Online published: 2025-03-13

摘要

为揭示换锦花的花芽分化进程中的形态特征及生理变化规律,以30株换锦花为试验材料,观察其物候期和花芽分化的形态发育过程,测定其在不同分化时期可溶性糖、淀粉、可溶性蛋白含量以及超氧化物歧化酶(SOD)、过氧化物酶(POD)活性。结果表明,换锦花的花期为7月下旬至8月下旬;其花芽分化经历了花芽分化准备、分生组织膨大、花原基形成、花被片分化、雄蕊分化和雌蕊分化6个时期。2月中下旬至3月初是其初叶期,养分的积累为花芽分化作准备,4月中旬花原基出现,4月下旬花被片原基形成,5月初雄蕊形成,5月中下旬完成雌蕊分化,整个花芽分化基本完成。在整个花芽分化期,可溶性糖、可溶性蛋白含量总体呈先上升后下降趋势,淀粉含量则表现为持续下降趋势,SOD和POD活性在花芽分化前期有明显的上升趋势,说明高含量的可溶性糖、可溶性蛋白以及高活性的SOD和POD可促进换锦花花芽分化。

本文引用格式

李青竹 , 许俊旭 , 蔡友铭 , 张永春 , 杨柳燕 . 上海地区换锦花花芽分化进程的形态和生理变化[J]. 安徽农学通报, 2025 , 31(5) : 13 -17 . DOI: 10.16377/j.cnki.issn1007-7731.2025.05.004

Abstract

In order to reveal morphological characteristics and physiological changes in the flower bud differentiation process of Lycoris sprengeri, 30 Lycoris sprengeri flowers were used as experimental materials, the phenological stage and flower bud differentiation morphological development process were observed, and the contents of soluble sugar, starch, soluble protein, and the activities of superoxide dismutase (SOD) and peroxidase (POD) in different differentiation stages were determined. The results showed that, the flowering period of Lycoris sprengeri was from late July to late August, its flower bud differentiation went through 6 stages: bud preparation, meristem enlargement, flower primordium formation, perianth segment differentiation, stamen differentiation and pistil differentiation. From mid to late February to early March of each year was the leaf period, the accumulation of nutrients to prepare for flower bud differentiation. The flower primordium appeared in mid-April, the perianth primordium formed in late April, the stamen formed in early May, the pistil differentiation was completed in mid-late May, and the differentiation of the whole flower bud was basically completed. In the whole flower bud differentiation stage, the contents of soluble sugar and soluble protein increased first and then decreased, while the contents of starch showed a continuous decreasing trend, and the activities of SOD and POD increased significantly in the early stage of flower bud differentiation, indicating that high content of soluble sugar and soluble protein and high activity of SOD and POD could promote Lycoris sprengeri flower bud differentiation.

石蒜属(Lycoris)植物种类较丰富,观赏价值与药用价值较高。该属植物耐阴性、适应性强,无需严苛的土壤条件,不易产生病虫害,养护费用少,具有较高的园林应用价值。石蒜的鳞茎中富含多种生物碱类物质,具有较强的抗菌、抗病毒与抗疟等功效,是一种产业化开发潜力较高的植物[1]。石蒜属植物的生命周期可分为地上和地下两个阶段,地上阶段包括开花和叶片生长,而地下阶段则以鳞茎生长和休眠为主。该属植物根据出叶时间不同,可分为秋出叶(10月中下旬)或春出叶(2月中旬)2种类型。一般认为石蒜、忽地笑和湖北石蒜等是秋出叶类型,海滨石蒜、换锦花(Lycoris sprengeri)和长筒石蒜等是春出叶类型。该属植物的花芽分化在地下鳞茎中进行,其间几乎没有叶子[2]。在该属植物年周期活动中,花芽分化阶段占据着重要地位,高品质切花及其良好景观效果依赖于一定数量的优质花芽。了解花芽分化的特点,并熟悉其所需的各种条件,对石蒜属植物的高产优质栽培极其重要。
石蒜属植物花芽分化的起始时间与温度等环境因素密切相关,同一物种在不同地区或气候条件下的花芽分化进程也有所不同[3-5]。在植物结束营养生长开始生殖生长阶段,花芽分化起着核心作用,其通常具有程序性,碳水化合物和蛋白质是植物物质转换和能量代谢的基础[6-7]。汪晓谦等[8]研究表明,郁金香花芽分化期间,可溶性总糖与可溶性蛋白含量呈先上升后下降的趋势,鳞片所含可溶性糖量的提高表示郁金香开始进行花芽形态分化。在鳞茎花芽分化过程中,抗氧化保护酶类的作用显著,可能有利于鳞茎低温破眠、花芽分化。李静等[9]研究表明,芍药花芽分化各阶段的过氧化物酶(POD)活性均是单峰型变化,过氧化氢酶(CAT)与超氧化物歧化酶(SOD)活性则呈上升趋势。换锦花具有淡紫红和蓝色的复色,在园林绿化中应用广泛,其在上海地区的应用效果较佳,广受市民欢迎,但在该地区其开花相关形态和生理研究有待进一步深入。
本文对上海地区换锦花开展物候期和花芽分化过程的形态学观察,并测定花芽分化阶段的可溶性糖、淀粉、可溶性蛋白含量和SOD、POD活性,以了解该植物在上海地区的生长发育习性以及花芽分化期生理与形态解剖学特征,为研究区高效优质种植换锦花及调控其花期提供参考。

1 材料与方法

1.1 试验材料

试验材料换锦花种植于上海市农业科学院石蒜资源圃(31.23° N,121.10° E),选择茎围在12 cm以上、生长健壮且未发生病虫害的鳞茎,2023年2月起随机选取30株换锦花进行周年物候期观察;于2023年3月上旬至6月下旬进行花芽分化进程研究,每5 d采样1次,单次采集5个鳞茎,先解剖鳞茎,将花芽取出,再将剩余鳞片存放于超低温冰箱内,用于测定生理指标。

1.2 试验方法

1.2.1 物候期观察

随机选取30株生长良好的换锦花植株于2023年2月至2024年3月进行观测,观察并记录其在1个生长周期内的生长发育过程。

1.2.2 花芽分化形态学观测

采用石蜡切片方法观测花芽分化不同时期的变化[5],花芽用纯净水清洗干净,干燥后利用FAA(福尔马林-乙酸-乙醇)固定液将其固定7 d,制备常规石蜡切片(10 µm 厚度)进行花芽形态观测,切片用苏木素进行染色,用显微镜(DM2500,德国徕卡)进行拍照。

1.2.3 生理指标测定

分别于花芽分化的6个时期及花发育时期,检测鳞片内可溶性糖、淀粉和可溶性蛋白含量,以及POD、SOD活性等。样品切碎后,充分混合,借助相应试剂盒对各生理指标展开测定,淀粉(YX-W-C400)、可溶性糖(YX-W-B602)、可溶性蛋白(YX-W-C202)、SOD(YX-W-A500)与POD(YX-W-A502),试剂盒皆购自义翘神州(苏州)生物技术有限公司。试验设置3个生物学重复。

2 结果与分析

2.1 物候期

换锦花为多年生草本植物,具地下鳞茎,花叶不同期。2—3月,换锦花叶片露出地面以后,开始快速生长;3月上旬至4月下旬,叶片基本生长完全,长度可达30 cm,宽度约1 cm;5月上旬,叶片开始变黄枯萎,到5月底基本全部枯萎;6月上旬至7月中旬,地下鳞茎进入花前休眠期;直到7月下旬,花葶从鳞茎伸出。花期为7月下旬至8月下旬,花色淡紫红色,花被裂片顶端带蓝色;果期为9月上旬至10月下旬,蒴果具3棱,种子黑色近球形;结实后进入花后休眠期,叶片在第二年2—3月进入新一轮生长周期(表1)。
表1 上海地区换锦花的物候期(2022—2023年)
物候期 时间
初叶期 2月中下旬
盛叶期 3月上旬至4月下旬
枯叶期 5月上旬至5月下旬
花前休眠期 6月上旬至7月中旬
花期 7月下旬至8月下旬
结实期 9月上旬至10月下旬
花后休眠期 11月上旬至次年2月中旬

2.2 花芽分化过程的形态学

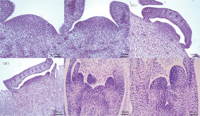
通过石蜡切片解剖发现,换锦花在上海地区的花芽分化基本由6个阶段构成:Ⅰ阶段是每年3月中旬至4月早期的花芽分化准备期,芽顶端处于营养生长阶段,生长锥为高圆丘状,细胞排列整齐,生长锥顶端的细胞个体小,颜色略深,位于下方的细胞体积略大;Ⅱ阶段是4月上旬至中旬的分生组织膨大期,在芽发育的同时,细胞分裂的活跃程度逐渐提高,顶端的生长点不断膨大,开始变得广平;Ⅲ阶段是4月中旬的花原基形成期,在花序分化的同时,局部花芽顶端分生组织开始细胞分裂,同时向外突出,产生若干突起,即小花原基;Ⅳ阶段是4月下旬的花被片分化期,待小花原基分化期结束,生长点持续增高,中下部周缘逐渐隆起,小突起交替见于两侧,此首层突起即花瓣原基,这层突起逐渐向上直立伸长生长,并向内卷曲;Ⅴ阶段是5月上旬的雄蕊分化期,待已形成花被片原基,花原基核心处朝内部凹陷,形成凹字型,即雄蕊原基,其初始阶段呈球状突起,顶端细胞分裂活动旺盛;Ⅵ阶段是5月中旬至下旬的雌蕊分化期,花原基中央分化产生雌蕊原基,同时雌蕊原基突起产生3个心皮,心皮顶端随后逐渐靠拢,共同分化形成花柱。进入6月上旬花开始发育,直至7月下旬花葶开始抽出地面(图1)。
图1 换锦花花芽分化过程的形态学观测

(A)花芽分化准备期;(B)分生组织膨大期;(C)花原基形成期;(D)花被片分化期;(E)雄蕊分化期;(F)雌蕊分化期。

2.3 花芽分化过程的生理变化

2.3.1 碳水化合物

换锦花花芽分化约从3月中旬开始,到5月下旬基本结束,6月进入花发育阶段,于7月下旬进入抽薹和开花期。可溶性糖含量在花芽分化期呈先增加后降低的趋势,其在花被片分化期达到最大值;而淀粉含量在整个花芽分化期呈降低趋势(图2)。
图2 换锦花花芽分化各时期碳水化合物含量的变化情况

(A)可溶性糖;(B)淀粉。

2.3.2 可溶性蛋白

图3可知,在花芽分化过程中,可溶性蛋白含量呈先上升再下降趋势。自花芽分化准备期起,可溶性蛋白含量逐步升高,在花被片分化期达到最大值,而后迅速降低,可能是因为花器官形成期需消耗大量可溶性蛋白。
图3 换锦花花芽分化各时期可溶性蛋白含量的变化情况

2.3.3 抗氧化酶

SOD和POD是抗氧化酶,可以保护植物免受活性氧积累的损伤。由图4A可知,花芽分化准备期至花原基形成期这一阶段,SOD活性不断上升,之后缓慢下降,可能与该阶段外界温度升高有关。由图4B可知,在花芽分化准备期至花被片分化期,POD活性呈先缓慢下降后明显上升的趋势,在花被片分化期达到最大值,表明POD活性增强有利于其花原基和花被片的分化。在叶片日益衰老、外界温度不断上升的同时,换锦花逐渐向休眠期发展,体内POD活性长期呈较低状态。
图4 换锦花花芽分化各时期抗氧化酶活性的变化情况

(A)SOD;(B)POD。

3 结论与讨论

花芽分化代表植物结束营养生长开始转为生殖生长,此阶段在整个发育过程中起着核心作用。石蒜属植物的花芽分化全程在地下鳞茎内进行,整个过程基本无叶相伴,同时与环境密切相关。了解该属植物花芽分化各时期的特性,可为该属植物的人工栽培和花期调控提供参考。
本研究表明,上海地区换锦花的花芽分化期在3—5月,可分为6个时期,并且在叶片枯萎前已经出现了花芽分化现象,这与Cai等[10]的研究结果相似。花芽生理分化过程主要涉及供花芽分化所需的营养成分、遗传物质等的联合作用,这些是形态分化的物质基础。通常情况下,糖分的积累在植物花芽分化中起重要作用,可溶性总糖含量的上升有利于促进花芽分化。梁芳等[11]研究发现,在花芽分化的初始阶段,菊花芽中可溶性总糖含量快速增多,但在花芽分化时期不断减少。任佳佳等[12]研究发现,江西地区的换锦花在花芽分化前期,鳞茎可溶性总糖含量呈上升趋势,花芽分化后期其含量开始减少,本研究结果与此基本一致。本研究发现,在花芽分化期,换锦花淀粉含量呈下降趋势,可能是为花芽分化提供物质基础。换锦花春季抽叶后,可溶性总糖等营养物质不断积累。花芽分化期积累的糖分逐渐开始被消耗,淀粉向可溶性糖转化,可能使养分处于动态平衡状态。可溶性蛋白是一种结构物质,其含量波动一定程度上反映植物组织内部营养的转移。本试验结果表明,换锦花从花芽分化准备期开始,可溶性蛋白含量逐步升高,在花被片分化期达到最大值,而后迅速降低,与任佳佳等[12]的研究结果相似。
植物在休眠解除至花芽萌发生长的过程中存在诸多物质分解与合成代谢活动,参与的酶会发生一系列复杂变化[13]。SOD和POD是重要的抗氧化酶,可保护植物免受氧化胁迫的损伤,与物质代谢、生长发育密切相关[14]。刘雪莲等[15]研究发现,侧金盏花花芽分化期间,SOD和POD活性在萼片分化期达到峰值后逐渐下降;胡静等[16]研究表明,西红花花芽分化过程中,POD和SOD活性总体呈增强状态。本研究中,SOD和POD活性在花芽分化前期均有明显的上升趋势,这与Cai等[10]的研究结果相似。可见,高活性的POD与SOD对植株体内超氧自由基保持动态平衡有着积极作用,可促进花芽分化。
本研究对上海地区换锦花开展物候期和花芽分化的显微结构观察,并测定花芽分化阶段的碳水化合物、可溶性蛋白含量和抗氧化酶活性。结果发现,可溶性糖、可溶性蛋白含量以及SOD和POD活性较高,有利于换锦花花芽的分化。研究结果为石蒜属的人工栽培和花期调控提供参考。
1
江生泉,姜自红,薛正帅. 石蒜属植物栽培繁殖技术及园林应用研究[J]. 佛山科学技术学院学报(自然科学版)201735(2):76-79.

2
刘姚,麦任娣,黄晶,等. 石蒜属植物生物碱类化合物及其构效关系研究进展[J]. 林业与环境科学201935(5):114-121.

3
王忠,李莹,郑玉红,等. 石蒜属植物花芽分化进程的解剖学观察[J]. 江苏农业科学201240(7):155-157.

4
王磊. 石蒜属植物花期调控技术及开花生理研究[D]. 南京:南京林业大学,2004.

5
李子璇. 忽地笑和石蒜生殖生物学研究[D]. 汉中:陕西理工学院,2010.

6
曲波,张微,陈旭辉,等. 植物花芽分化研究进展[J]. 中国农学通报201026(24):109-114.

7
张永平,乔永旭,喻景权,等. 园艺植物果实糖积累的研究进展[J]. 中国农业科学200841(4):1151-1157.

8
汪晓谦,张延龙,牛立新,等. 郁金香花芽分化过程中鳞茎碳水化合物和蛋白质含量的变化[J]. 植物生理学报201147(4):379-384.

9
李静,郭绍霞. 芍药花芽分化期间营养物质与酶活性的变化[J]. 北方园艺2011(7):73-75.

10
CAI J H FAN J J WEI X Y,et al. Differences in floral development between Lycoris radiata and Lycoris sprengeri [J]. ScienceAsia202046(3):271.

11
梁芳,郑成淑,张翠华,等. 菊花花芽分化过程中芽和叶片碳水化合物含量的变化[J]. 山东农业科学200840(1):40-42.

12
任佳佳,于磊,王珺,等. 换锦花花芽分化过程生理生化变化[J]. 现代园艺2009(8):36-38.

13
郭金丽,张玉兰. 苹果梨花芽分化期蛋白质、淀粉代谢的研究[J]. 内蒙古农牧学院学报199920(2):80-82.

14
吴洁秋,朱根发,王凤兰,等. 竹叶兰花器官发育过程及生理特性研究[J]. 热带作物学报202142(1):140-148.

15
刘雪莲,程文博,朱俊义. 侧金盏花花芽分化的形态观察及生理生化变化[J]. 东北林业大学学报202250(9):50-55.

16
胡静,饶桦静,裴瑾,等. 西红花花芽分化的形态发育及生理生化变化研究[J]. 中药材201841(12):2748-2752.

文章导航

/